48岁的孙女士(化名)来自陕西渭南,一场长达八年的肾癌抗争,让她尝尽了病痛的折磨与治疗的曲折。左肾切除术后复发,辗转西安、北京多家知名医院接受化疗,不仅未能控制病情,反而让身体被副作用击垮,彻夜难眠、身形消瘦、失去生的希望,成为她那段时光的真实写照。
一次偶然的线上寻觅,让她与深圳华侨医院相遇,以中国肿瘤微创介入领军人之一窦永充教授、中国医师协会放疗分会热疗专委会副主委董文广副院长为核心的医疗团队,运用微创介入、冷冻消融术、肿瘤热疗等先进诊疗技术,为她量身定制治疗方案,不仅让她的病痛大幅缓解,更重新找回了生活的快乐与希望。“在这里我看到了希望,身体轻松了,也有了活下去的底气,这是之前化疗从来没有过的感觉。”孙女士的话语里,满是对深圳华侨医院医疗团队的感激,而这背后,是医院在肿瘤微创绿色治疗领域的深厚积淀与顶尖技术的精准实践。

八年抗癌路坎坷,化疗之苦陷绝境
孙女士的抗癌之路,从一开始就布满荆棘。2018年,她因腰部持续疼痛前往医院检查,被确诊为左肾中晚期肾癌,肿瘤位于左肾上极外侧,大小达7cm,随即在西安某三甲医院接受了机器人左肾部分切除术,术后病理显示为2型乳头状肾细胞癌。彼时的她,以为切除病灶便可以恢复健康,却未曾想,这只是抗癌之战的开始。术后未进行特殊治疗的她,在2023年迎来了病情的复发,外院PET-CT检查显示,左肾术区、腰4体平面左侧腰大肌旁、左下腹壁均出现病变,穿刺病理查见肿瘤细胞,确诊为肾脏来源的肿瘤转移。
从此,孙女士开始了辗转各地的治疗之路。最初,她接受了靶向治疗,但是2025年病情进一步恶化,盆腔出现囊实性占位,还伴随大量腹腔积液,被诊断为左肾恶性肿瘤IV期,腹膜、网膜也出现继发性恶性病变。作为陕西人,她首先想到了西安当地顶尖的一家三甲医院,在这里,她接受了两次化疗,可这两次治疗,却让她陷入了更深的绝境。“我去的时候还是个好好的人,只不过是病有些复发。化疗了一次,我回去就是被人搀着走的,第一次化疗后,我连路都走不成了。” 孙女士回忆起化疗的经历,依旧心有余悸。化疗带来的副作用,远比肿瘤本身更让她难以承受。化疗药物的注射,让她的血压飙升至180-200mmHg,却毫无知觉,同时彻底摧毁了她的食欲,让她整日不思饮食。原本145斤的她,在化疗后短短时间内瘦了三十多斤,体重仅剩56公斤,身形憔悴,脸色惨白。“第二次化疗后,娃要上班走,心慌得眼泪直流不愿意走,因为看着我化疗后整个人都不成样子了。”孙女士说,那时的她,躺在床上连起身的力气都没有,心里甚至萌生了放弃的念头,“我心里想,再敢去化疗三次,估计我就没了。”

在西安这家三甲医院治疗无果后,儿子带着她远赴北京,辗转多家大医院,尝试了西药、中药等多种治疗方式,服用了多种药物,可病情依旧没有得到有效控制,肿瘤持续增大,腹腔积液让她连平躺睡觉都成为奢望。“两三个月里,我晚上都睡不好觉,要么在沙发上趴着,要么在床上蜷着,从来没有平躺睡过一次觉,屋里的父母看着我这样,天天掉眼泪。” 孙女士说,那时的她,脸白得像纸,整个人的状态让身边人都觉得“到时候了”,可她心里始终不甘,儿子刚结婚,女儿才19岁,她还想看着孩子成家立业,看着孙子出生,这份对家人的牵挂,让她始终没有放弃寻找希望。
微创技术显神通,综合治疗解病痛
就在孙女士陷入绝境,几乎放弃希望时,她通过手机网络,偶然联系上了深圳华侨医院的董文广教授。让她意外的是,从最初的病情沟通,到就诊安排、床位预留,全程都通过手机完成,医院的贴心与高效,让她在绝望中看到了一丝光亮。“现在这个社会,谁敢随便通过手机联系去一个陌生的医院看病?但我相信董教授,相信这个团队,他说几号来,我就几号来。”带着这份信任,孙女士跨越千里,从陕西渭南前往深圳,开启了全新的治疗之路。

孙女士(化名)在深圳华侨医院接受治疗
接诊孙女士后,深圳华侨医院以董文广教授为核心的肿瘤“绿色治疗”新模式的医疗团队,对她的病情进行了全面、细致地评估。孙女士为左肾癌术后多发转移,属于IV期晚期,且经过多次化疗和靶向治疗后,身体耐受度极低,传统的全身性治疗方式已不再适用。针对这一情况,团队摒弃了“一刀切”的治疗思路,为她量身定制了以冷冻消融术为核心,结合动脉灌注局部化疗+栓塞术、腹腔囊性积液穿刺置管引流术和热疗的综合微创治疗方案,实现了对肿瘤的精准、微创、温和治疗。董文广教授作为全国著名的肿瘤专家,全程主导了治疗方案的制定,为治疗效果保驾护航。
氩氦刀冷冻消融术并非传统开刀手术,而是一种在CT或B超引导下,通过细针穿刺将肿瘤组织极速冷冻至-160℃以下形成“冰球”,再迅速升温至40℃左右,利用冷热逆转的剧烈温差彻底摧毁癌细胞的微创物理疗法。
冷冻消融术是此次治疗的核心技术,也是让孙女士的病痛得到显著缓解的关键。作为微创介入治疗的重要方式,该技术与传统化疗的“全身性杀敌”截然不同,它在CT的精准引导下,将冷冻消融针穿刺至肿瘤病灶部位,利用超低温使肿瘤组织快速形成冰球,让肿瘤细胞发生变性、坏死,从而实现局部消灭肿瘤的目的。这种治疗方式对周围正常组织的损伤极小,且全程在局部麻醉下进行,大大降低了治疗的痛苦和副作用。孙女士回忆起接受冷冻消融术的过程,直言“啥感觉都没有,就感觉不到针啊、刀子划伤这些,特别轻松”。而让她倍感安心的是,手术全程都有董文广教授等核心专家亲自操作,“我从陕西坐30个小时的火车过来,就是想让教授亲自上手做,看到董教授还有这么多医生在跟前,我一下子就放心了。”

为了让冷冻消融术达到最佳效果,董文广教授团队还为孙女士先行制定了动脉灌注局部化疗+栓塞术治疗技术,将化疗药物直接输送至肿瘤供血动脉,大幅提高肿瘤局部的药物浓度,让化疗药物精准作用于肿瘤病灶,同时栓塞肿瘤的供血血管,切断肿瘤的营养供应,让肿瘤处于“缺血缺氧”的状态,为后续的冷冻消融术创造了更好的条件。针对孙女士腹腔大量积液导致的腹胀、压迫等症状,团队及时实施了腹腔囊性积液穿刺置管引流术,快速排出积液,缓解了她的躯体不适,让她的身体状态得到初步改善。
深圳华侨医院积极响应“健康中国”决策部署,瞄准世界前沿治疗技术——率先引进深圳首台、全国唯一既可局部热疗、又可全身热疗的最先进肿瘤射频热疗系统。
此外,每日进行的热疗也成为孙女士治疗过程中的重要组成部分。热疗是通过高端热疗设备(深圳首台、全国唯一既可局部热疗、又可全身热疗的最先进肿瘤射频热疗系统),将热量精准作用于肿瘤病灶部位,利用高温直接杀伤肿瘤细胞,同时促进局部血液循环,提升身体的免疫力。“做了热疗以后身体可舒服了,就像泡了桑拿一样,出来满头大汗,让人觉得特别轻松,它是照着病灶来的,做完之后整个人都清爽了。”孙女士说,热疗不仅让她的身体感受变好,更让她的精神状态也逐渐恢复。与传统化疗相比,深圳华侨医院的微创介入治疗方案展现出了压倒性的优势。传统化疗是全身性治疗,在杀死肿瘤细胞的同时,也会损伤大量正常细胞,导致血压异常、食欲减退、身体消瘦等严重副作用;而冷冻消融术等微创技术,实现了“精准打击”肿瘤,对正常组织几乎无损伤,从根本上避免了全身性的副作用。孙女士在接受治疗后,不仅没有出现化疗时的各种不适,反而快速恢复了食欲,“现在还想吃鸭脖、猪蹄,心里想着要吃那么多东西,胃口来了,身体才能慢慢养回来。”

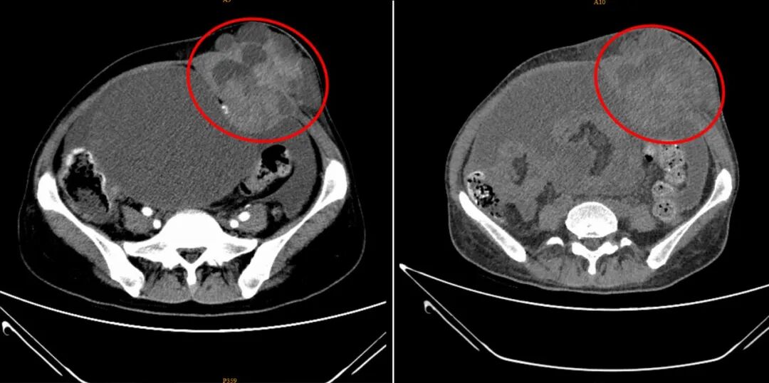
孙女士在深圳华侨医院治疗短短一个月的前后对比CT影像图。病灶部位呈现出体积显著缩小、边界趋于清晰、内部密度更加均匀的积极变化,表明治疗已取得明显成效。
重获新生见希望,口碑相传暖人心
在深圳华侨医院的精准微创治疗下,孙女士的身体状况发生了翻天覆地的变化,这份变化,不仅体现在检查报告上,更体现在她实实在在的身体感受中。接受冷冻消融术后不久,她就发现腹部的肿瘤肿块有了明显缩小,“用手摸能感觉到小些,从外观都能看出来,比之前拍片子的时候小了不少。” 而最让她欣喜的是,困扰她许久的睡眠问题彻底解决了,曾经两三个月彻夜难眠、只能趴着休息的她,如今能像正常人一样平躺、侧睡,“枕着一个枕头就能睡好觉,这种轻松的感觉太久没有了,我现在晚上睡觉特别香。”
癌痛的大幅缓解,更是让孙女士重新找回了生活的快乐。此前,肿瘤的压迫让她时常感到腹部难受、疼痛,而如今,她再也不用依靠止痛药,“现在不痛了,为啥要吃止痛药,吃了有依赖性,现在身体舒服,不用遭那个罪。”从连路都走不成,到能自主活动,甚至能和朋友一起聊天、游玩,孙女士的精神状态越来越好,“身体不难受的时候,我就能找到我的快乐,回去和朋友一起浪、一起玩,这是之前想都不敢想的。”
更让她感到温暖的,除了深圳华侨医院顶尖的医疗技术,还有全体医护人员的贴心服务。从董文广教授、吴胜祥医生的耐心沟通、细致诊疗,到护士们的悉心照料、暖心关怀,都让她在异地就医时感受到了家的温暖。“这里的护士个个都暖人心,啥都替你想到,态度好得很,叫人心里特别舒服。” 孙女士说,第一次治疗后,她躺在床上睡了一个安稳觉,心里就默默许下心愿,下次来医院一定要带上锦旗,感谢以董文广教授、吴胜祥医生为核心的医疗团队,“他们的专业技术顶尖,态度又特别好,在这里看病,不光身体得到了治疗,心里也特别温暖。”

当孙女士再次来到深圳华侨医院接受后续治疗,对于未来,她充满了信心。“只要身体能一直这么轻松,我就会一直来这里治疗,不管多远,因为这里让我感受到了生的希望。”她说,自己现在最大的心愿,就是好好配合治疗,看着儿子成家立业,看着女儿生儿育女,陪着家人走过更多的时光。而她的治疗经历,也成了身边病友的“希望之光”,她将深圳华侨医院推荐给了在成都认识的肾癌患者,那位病友在接受治疗后,也感受到了精准微创治疗技术的神奇效果。“病友之间互相减轻负担,好的治疗方法就应该让更多人知道,让更多和我一样的患者看到希望。”孙女士说,这次来医院,她还遇到了几位西安的患者,大家都是通过口碑相传找到这里,而深圳华侨医院的治疗效果,也让每一位远道而来的患者都倍感欣慰。
孙女士的治疗经历,是深圳华侨医院肿瘤精准微创治疗技术的一次生动实践,也是董文广教授团队在中晚期肿瘤治疗领域的一个成功经验。对于中晚期肾癌等恶性肿瘤,传统治疗方式往往难以兼顾疗效与患者的生活质量,而以冷冻消融术为代表的综合精准微创治疗,为那些无法耐受传统化疗、手术的中晚期肿瘤患者开辟了新的治疗路径,实现了“以最小的创伤,获得最佳的治疗效果,保留最高的生活质量”的治疗目标。
从陕西渭南到广东深圳,跨越千里的求医之路,孙女士不仅摆脱了病痛的折磨,更重新点燃了生命的希望。而深圳华侨医院以董文广教授为核心的医疗团队,正凭借顶尖的综合治疗手段、精准的个体化治疗方案和温暖的人文关怀,为全国各地的肿瘤患者铺就重生之路,用技术与爱心,点亮一个又一个生命的希望之光!在肿瘤治疗的道路上,综合精准微创技术的不断发展与创新,也必将为更多中晚期肿瘤患者带来福音,让他们在与病魔的抗争中,拥有更多的底气与希望!




